Science & Technology

Adipose Tissue – Types and Functions

Why in news — Fat is often thought of as inert storage, but recent research has highlighted that adipose tissue is metabolically active and plays a key role in regulating energy balance. Scientists are exploring how different types of fat cells work and whether stimulating fat to burn energy could complement appetite‑suppressing drugs in weight‑loss therapies.

Adipose Tissue – Types and Functions

Why in news?

Fat is often thought of as inert storage, but recent research has highlighted that adipose tissue is metabolically active and plays a key role in regulating energy balance. Scientists are exploring how different types of fat cells work and whether stimulating fat to burn energy could complement appetite‑suppressing drugs in weight‑loss therapies.

Background

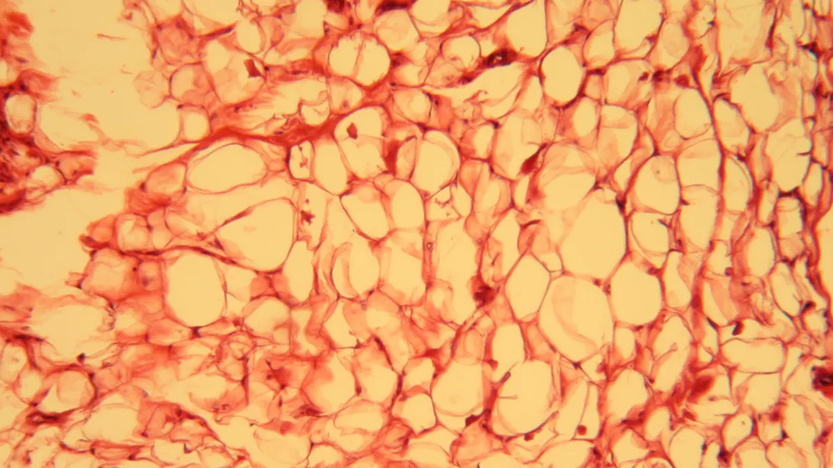
Adipose tissue is found throughout the body and comes in several forms. The most abundant is white adipose tissue, which stores excess energy in the form of triglycerides. White fat also acts as an endocrine organ by releasing hormones such as leptin, which signals satiety, and adiponectin, which regulates insulin sensitivity. Brown adipose tissue, by contrast, is specialised for heat production. It contains many mitochondria packed with a protein called uncoupling protein‑1 (UCP1) that allows it to burn fat and glucose to generate heat – a process known as non‑shivering thermogenesis. A third form, known as beige fat, consists of white fat cells that acquire brown‑like properties under certain conditions, such as exposure to cold or exercise.

Types of adipose tissue

  • White adipose tissue (WAT): Stores energy and cushions organs. It secretes hormones that influence appetite, metabolism and inflammation. Excess WAT accumulation leads to obesity and metabolic disorders.
  • Brown adipose tissue (BAT): Found in newborns and some adults in areas such as the neck and shoulder blades. Rich in mitochondria and UCP1, it burns calories to maintain body temperature, especially when exposed to cold.
  • Beige or brite fat: White fat cells can convert to beige fat in response to cold exposure, certain hormones or physical activity. Beige fat has intermediate properties – it can burn energy like brown fat but also store fat like white fat.

Recent insights

  • Endocrine role: White fat secretes leptin to suppress appetite and adiponectin to improve insulin sensitivity. Disruption of these signals contributes to obesity and diabetes.
  • Thermogenic potential: Brown and beige fat contain abundant mitochondria that burn fat and sugar to generate heat. Exposure to cold, certain hormones (like noradrenaline) and physical activity can stimulate this process.
  • Weight‑loss therapies: Appetite‑suppressing drugs based on GLP‑1 hormones are effective, but researchers note that combining them with treatments that activate brown or beige fat could enhance weight loss by increasing energy expenditure.
  • Balanced approach: Studies caution that simply increasing brown fat activity without addressing appetite may increase food intake because the body tries to maintain energy balance. Thus, any therapy must consider both intake and expenditure.

Significance

  • Understanding metabolism: Recognising adipose tissue as an active endocrine and thermogenic organ helps explain why weight management is complex and why fat distribution matters more than total weight.
  • Potential treatments: Insights into brown and beige fat could lead to new therapies for obesity and metabolic diseases that go beyond diet and exercise.
  • Health awareness: Knowing that not all fat is the same encourages individuals to adopt lifestyles that promote healthy fat function, such as regular exercise and exposure to moderate cold.

Conclusion

Adipose tissue is far more than a passive energy store. It acts as a hormone factory, an insulating layer and, in the case of brown and beige fat, a furnace that burns calories. Future treatments for obesity may combine appetite control with strategies that safely boost thermogenesis, but they will need to work in harmony with the body’s metabolic balancing act.

Source: The Hindu

Continue reading on the App

Save this article, highlight key points, and take quizzes.

App Store Google Play
Home Current Affairs 📰 Daily News 📊 Economic Survey 2025-26 Subjects 📚 All Subjects ⚖️ Indian Polity 💹 Economy 🌍 Geography 🌿 Environment 📜 History Exam Info 📋 Syllabus 2026 📝 Prelims Syllabus ✍️ Mains Syllabus ✅ Eligibility Resources 📖 Booklist 📊 Exam Pattern 📄 Previous Year Papers ▶️ YouTube Channel
Web App
```