Daily Updates

UPSC Current Affairs

Stay updated with daily current affairs, editorial analysis, and news for UPSC exam preparation.

All News Polity Economy Geography Environment International Relations Defence Art and Culture History Science & Technology Social

Download the Clarity UPSC App Now

Get the best experience with offline reading, dark mode, and streak tracking.

App Store Google Play
Rebate of State and Central Taxes and Levies (RoSCTL) Scheme

Rebate of State and Central Taxes and Levies (RoSCTL) Scheme

Why in news? The Ministry of Textiles has extended the RoSCTL scheme for exports of apparel and made‑ups until 30 September 2026. This extension ens...

Samrat Samprati – The Mauryan Emperor Who Spread Jainism

Samrat Samprati – The Mauryan Emperor Who Spread Jainism

Why in news? On 31 March 2026, the Prime Minister inaugurated the Samrat Samprati Museum at Koba Tirth in Gujarat. The museum honours the Mauryan rule...

YUVIKA Programme – ISRO’s Science Camp for School Students

YUVIKA Programme – ISRO’s Science Camp for School Students

Why in news? The Minister of State for Science and Technology recently highlighted ISRO’s efforts to foster a scientific temper among young students...

Rice’s Whale – Saving a Critically Endangered Species

Rice’s Whale – Saving a Critically Endangered Species

Why in news? Environmentalists have raised alarms as the U.S. administration plans to expand oil drilling in the Gulf of Mexico, a move that could imp...

Algeria – Geography and Significance

Algeria – Geography and Significance

Why in news? India and Algeria recently held their seventh round of Foreign Office Consultations in Algiers. The meeting highlights growing cooperatio...

Snowy Owl – Arctic Predator Now Under International Protection

Snowy Owl – Arctic Predator Now Under International Protection

Why in news? At the COP15 summit of the Convention on the Conservation of Migratory Species of Wild Animals (CMS) held in Campo Verde, Brazil, in Marc...

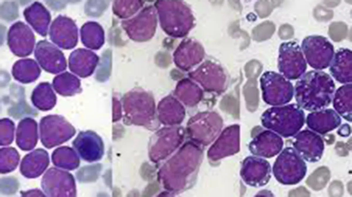
Acute Lymphoblastic Leukaemia (ALL) – Understanding the Disease and New Findings

Acute Lymphoblastic Leukaemia (ALL) – Understanding the Disease and New Findings

Why in news? A multi‑institutional study published in 2025 found that about 10 percent of adults with acute lymphoblastic leukaemia carry mutations ...

E20 Fuel – India’s Next Step in Ethanol Blending

E20 Fuel – India’s Next Step in Ethanol Blending

Why in news? From 1 April 2026, petrol pumps across India are mandated to supply E20 fuel, a blend of 20 percent ethanol and 80 percent petrol, with a...

Ammonium Nitrate – Uses, Properties and Regulation

Ammonium Nitrate – Uses, Properties and Regulation

Why in news? Bharat Coal Gasification and Chemicals Limited (BCGCL) and Mahanadi Coalfields Limited (MCL) recently signed a lease agreement for a Coal...

Malwan – Anti‑Submarine Warfare Shallow Water Craft

Malwan – Anti‑Submarine Warfare Shallow Water Craft

Why in news? The Indian Navy has taken delivery of Malwan, the second of eight Anti‑Submarine Warfare Shallow Water Craft (ASW SWC) being built by C...

Humpback Whale Rescue in the Baltic Sea

Humpback Whale Rescue in the Baltic Sea

Why in news? A 12‑metre humpback whale became stranded in shallow waters near Wismar, Germany, after entering the Baltic Sea in late March 2026. A r...

Indian Accounting Standards (Ind AS) for Insurers

Indian Accounting Standards (Ind AS) for Insurers

Why in news? The Insurance Regulatory and Development Authority of India (IRDAI) has issued an exposure draft requiring all insurers — life, general...

Kugti Wildlife Sanctuary and the Albino Himalayan Tahr

Kugti Wildlife Sanctuary and the Albino Himalayan Tahr

Why in news? A rare albino Himalayan tahr was recently spotted in Kugti Wildlife Sanctuary in Himachal Pradesh. Sightings of albino tahr are extremely...

eGramSwaraj Portal – Digital Governance for Panchayats

eGramSwaraj Portal – Digital Governance for Panchayats

Why in news? The Ministry of Panchayati Raj has announced that over ₹3 lakh crore worth of payments have been processed through the eGramSwaraj port...

Sanshodhak – Hydrographic Survey Vessel

Sanshodhak – Hydrographic Survey Vessel

Why in news? Sanshodhak, the fourth and final Survey Vessel (Large) built by Garden Reach Shipbuilders & Engineers (GRSE) in Kolkata, was delivered to...

Bio‑Bitumen – Using Agricultural Waste for Roads

Bio‑Bitumen – Using Agricultural Waste for Roads

Why in news? India is set to become the first country to commercially produce bio‑bitumen by converting agricultural residue into a binder for road ...

National Assessment and Accreditation Council (NAAC) Transition

National Assessment and Accreditation Council (NAAC) Transition

Why in news? During the academic year 2025‑26, no university or college in India received fresh accreditation from the National Assessment and Accre...

Spain’s Airspace Denial to US Planes

Spain’s Airspace Denial to US Planes

Why in news? Spain has refused to allow its airspace and military bases to be used by US aircraft involved in attacks on Iran and the wider Middle Eas...

Sloth Bear Strays into Airport

Sloth Bear Strays into Airport

Why in news? An eight‑year‑old female sloth bear wandered into the premises of Rashtrakavi Kuvempu Airport near Shivamogga in Karnataka after trav...

Agray – Anti‑Submarine Warfare Shallow Water Craft

Agray – Anti‑Submarine Warfare Shallow Water Craft

Why in news? On 30 March 2026 the Indian Navy received Agray, the fourth vessel in a series of eight Anti‑Submarine Warfare Shallow Water Crafts (AS...

Home Current Affairs 📰 Daily News 📊 Economic Survey 2025-26 Subjects 📚 All Subjects ⚖️ Indian Polity 💹 Economy 🌍 Geography 🌿 Environment 📜 History Exam Info 📋 Syllabus 2026 📝 Prelims Syllabus ✍️ Mains Syllabus ✅ Eligibility Resources 📖 Booklist 📊 Exam Pattern 📄 Previous Year Papers ▶️ YouTube Channel
Web App